반응형

반응형
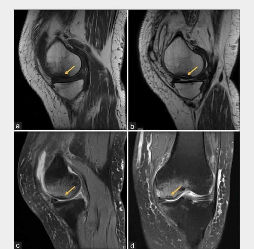
"스트레스성 골절"(stress Frecture) 이란?
운동을 많이 하는 사람들에게 흔하게 발생하는 미세골절을 말한다.
뼈가 부러진건 아니지만 운동으로 인한 관절에 반복된 충격으로 인해 뼈에 금이 간거상태라고 생각하면된다.
엑스레이상에서는 이상이 없게 보이지만 ct나 mri촬영을 하면 미세하게 골절된걸 확인할수있다.
요즘처럼 러닝이 유행하는 요즘에 스트레스성 골절환자들이 많다.
러닝처럼 반복적으로 똑같은 무릎관절에 충격을 계속 가하면 근육이 피로해져 충격을 제대로 흡수하지 못하고 그로 인해 뼈에 그대로 충격이 가해져 뼈에 작은 금이 가게된다
초보 러너분들이나 갑자기 거리를 늘린경우 딱딱한 바닥에서 뛰거나 쿠션이 없는 운동화를 신는 사람들에게 자주 나타난다.
증상으로는
. 지속되는 통증
.가만히 있거나 움직이지 않을때는 덜아프다가 운동하면 통증이 증가하는 경우
.눌렀을때 콕콕 아픈 부위가 정확히 있.는 경우
.붓기는 거의 없지만 깊은 통증이 있는경우
대부분 스트레스성 골절이 많이 생기는 부위는
무릎, 발등, 종아리, 발목,대퇴골,골반 등이 가장흔하게 발생한다.
치료방법은?
일단 가장중요한 휴식~~!!
최소 4주-6주간은 운동을 쉬고 휴식을 취하는게 좋다!
통증이 심한경우 보조기나 깁스를 하고
칼슘,비타민D보충 맟 러닝 대신 수영같은 충격이 적은 운동을 하는게 좋다
스트레스성 골절을 무시하고 계속 운동을 한다면
미세한 금에서 잔짜 골절로 이어질수있으니 주의하여여한다.
또한 운동시엔 가벼운 스트레칭과 평평한 평지 , 본인 발에 맞는 러닝화를 잘착용후 운동하길 추천한다.
진료과 : 정형외과
반응형
댓글